Orthodontic Before & After Gallery – Nashville Braces & Invisalign
At Music City Orthodontics, we’ve transformed thousands of smiles across Nashville and surrounding communities. From Brentwood and Antioch to Smyrna, Green Hills, Forest Hills, La Vergne, Crieve Hall, Berry Hill, and Woodbine, patients trust Dr. Ajay Singh, DDS, MS, for expert care in braces, Invisalign, and clear ceramic braces. Our before and after gallery highlights real cases treated in our Nashville orthodontic office—showing how metal braces, Invisalign aligners, and ceramic braces create confident, healthy smiles for children, teens, and adults.
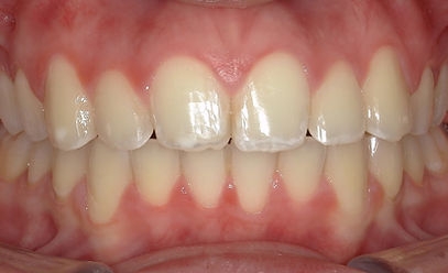
Case Presentation
​
Multiple Impacted Teeth
Orthodontic Evaluation Summary
​
Practice: Music City Orthodontics, Nashville, TN Date: March 13, 2025
​
Patient: L.S, Age at Completion: ~15
​
Initial Presentation (at age 13):
​
L.S and his parents initially presented with concerns that his permanent teeth were not erupting properly ("My teeth are not coming in"). Evaluation confirmed multiple impacted teeth (maxillary canines #6, #11; mandibular premolar #20) due to insufficient space.
​​
Treatment Provided:
Comprehensive orthodontic treatment using fixed braces was successfully undertaken over 20 months. The treatment involved:​
-
Space Management: Required creating sufficient space. This involved careful consideration regarding the extraction of the impacted premolar (#20) or potentially other permanent teeth, based on space analysis. A non extraction approach was agreed upon using coils springs.
-
Guided Eruption: Application of orthodontic forces via braces to bring the impacted teeth into proper alignment.
​
Treatment Outcome:
​
-
Active treatment concluded successfully.
-
All permanent teeth, including the formerly impacted canines (#6, #11) and premolar #20 are now fully erupted and properly aligned.
-
An ideal bite (Class I occlusion) with appropriate overjet and overbite has been achieved.
-
Dental aesthetics and function have been significantly improved.
​
Current Status:
​
-
L.S is now in the retention phase of treatment.
-
He is wearing upper and lower clear Essix retainers to maintain the stability of his corrected smile.
​
Note: This summary is for informational purposes. A definitive treatment plan requires a comprehensive in-person consultation and review of all diagnostic records with Dr. Ajay Singh at Music City Orthodontics in Nashville, TN.
​
Patient 1 – Metal Braces – 20 Months – Brentwood (Nashville Area)
​
This Brentwood patient visited our Nashville orthodontic office for traditional metal braces to correct severe crowding and improve bite alignment. The treatment was completed in just under two years with excellent, lasting results.​​​​​​​​​​​​​​​
​
​




Patient 2 – Invisalign – 22 Months – Green Hills (Nashville)
​
Our Green Hills patient completed Invisalign treatment at our Nashville orthodontics practice to correct deep bite and improve alignment in 22 months. Clear aligners provided a discreet, comfortable solution.




Patient 3 – Clear Ceramic Braces – 26 Months – Antioch (Nashville)
This Antioch patient chose clear ceramic braces at our Nashville orthodontic office for correcting moderate crowding and an anterior openbite in 26 months.




Patient 4 – Invisalign Teen – 16 Months – Smyrna (Nashville Area)
A Smyrna teen patient visited our Nashville orthodontist for Invisalign Teen to fix mild crowding and improve bite function. The clear aligners offered a comfortable and nearly invisible treatment option.




Patient 5 - Metal Braces – 22 Months – La Vergne (Nashville Area)
This La Vergne patient had significant crowding and bite issues corrected with traditional metal braces at our Nashville orthodontics practice. The transformation was completed in under two years.




Patient 6 – Clear Braces – 19 Months – Forest Hills (Nashville)
Forest Hills patient came to our Nashville orthodontist for clear braces to straighten crowded teeth discreetly. In 19 months, they achieved a balanced bite and improved smile aesthetics.




Patient 7 – Invisalign – 15 Months – Berry Hill (Nashville)
A Berry Hill Invisalign patient achieved their new smile at our Nashville orthodontics office by closing spaces and aligning teeth in just over a year with removable, clear aligners.




Patient 8 – Metal Braces – 21 Months – Oak Hill (Nashville)
Oak Hill patient’s crossbite and crowding were corrected at our Nashville orthodontic practice using traditional metal braces, with results delivered in less than two years.




Patient 9 – Clear Braces – 17 Months – Crieve Hall (Nashville)
This Crieve Hall patient received clear braces at our Nashville orthodontist’s office to correct crowding and improve bite alignment in 17 months, creating a straighter, healthier smile.




Patient 10 – Invisalign – 22 Months – Woodbine (Nashville)
Woodbine Invisalign patient completed treatment at our Nashville orthodontics practice in under two years, correcting crowding and enhancing bite function with clear aligners.





